矯正歯科治療
歯並びが気になる方へ

町田NI歯科の矯正治療メニュー
歯並びは良くしたいけれど、「目立つ矯正装置はちょっと…」「矯正しているのを知られたくない」とお考えの方もいらっしゃると思います。当院では、目立たない装置での矯正をご案内させていただくことも可能ですので、ご希望の方はご相談下さい。

■マウスピース矯正
マウスピース矯正は、透明度が高く薄いマウスピースを使って矯正を行う治療法で、矯正が小規模で済むケースやマルチブラケット矯正の仕上げとして行われます。マウスピース矯正のメリットは、目立たないことや取り外しができることなどで、デメリットは、使用時にマウスピースが割れてしまう可能性があることや長時間装着している必要があるので、歯とマウスピースの間に細菌が発生しやすく虫歯になりやすいことなどが挙げられます。



■部分矯正
部分矯正は、動かす歯を1本から数本に限定した治療で「気になる歯並びだけを整えるワンポイント矯正」とも呼ばれています。全体矯正よりも矯正する歯の数が少なくなるため治療期間が短期間で済み、全体矯正よりも費用も安くなるというメリットがあります。咬み合わせの状態や顎骨の位置によっては、矯正が難しいこともありますので、ご検討されている方は一度ご相談下さい。

■表側矯正
表側矯正は、最も一般的な矯正治療です。ブラケットという器具にワイヤーを通し、ワイヤーから歯へと力をかけ続けることにより歯を徐々に移動していくという治療となります。治療期間は、2年~3年程度となります。
矯正装置につきましては、装置が目立ちにくいホワイトのものを使用いたします。

■裏側矯正
舌側矯正は、歯の裏側に矯正装置をつけて治療する矯正で、矯正装置が表から見えないため矯正中であることが気づかれにくいというメリットがあります。また、表側に矯正装置をつけると歯磨きがしにくくなり、虫歯になるリスクが高まってしまいますが、歯の裏側は虫歯に強く、矯正装置を表側につけるよりも虫歯になるリスクが低いというメリットもあります。
一方、装置に舌があたり表側矯正に比べると口内の違和感が大きいことや、装置をつけた当初はさ行・た行・ら行の発音がややしづらくなること、表側矯正に比べてやや費用が高くなってしまうことがデメリットとして挙げられます。
■インプラント矯正
※インプラント矯正はオプションとなりますので、詳しくお知りになりたい方は下記お問い合わせ下さい。
■加速矯正(スピード矯正)
矯正にかかる治療期間には個人差がありますが、一般的に大人の歯科矯正は平均2年~3年程度かかります。やはり「なるべく早い矯正がしたい」「早く歯並びをキレイにしたい」という方は多くいらっしゃいます。矯正治療の治療期間を短くすることを目的に行います。本来の歯の移動速度よりも速く歯を移動させる治療方法です。

矯正治療の期間は短いほうがいいのか?
矯正治療というと、どうしても時間がかかるイメージがあるのではないでしょうか。治療内容にもよりますが、一般的な矯正治療では2〜3年くらいの期間がかかってしまいます。たとえ目立たない装置で治療を行なっていても、口の中に装置が入っていると違和感を感じたり、虫歯などのリスクがあったりするので、矯正治療の期間はなるべく短いほうが望ましいと考えられます。ただし、緩徐な移動をしなければ歯根吸収や歯周病の悪化が生じることもあるため、各種の加速矯正方法を検討して行う必要があります。成人矯正の場合には歯周病にも罹患していることも少なくないため、矯正治療だけでなく歯周病の知識も重要になります。
根拠にもとづいた侵襲の少ない新しい加速矯正のご提案
以前より、歯を早く動かす方法の一つにコルチコトミー(歯槽骨皮質骨切術)があります。これは、歯の周りの骨に傷をつけることによって歯を速く動かす技術ですが、数か月おきに骨に傷をつける外科手術を行わなければならないという欠点がありました。これに対して、近年では歯や歯周組織に振動や光を加えることによって歯を速く動かす加速矯正装置というものが用いられるようになりました。装置なので、外科手術は必要なく、自宅で手軽に行うことができます。当院でも希望があれば、加速矯正装置を用いた治療を行うことが可能です。加速矯正装置にも振動系や光系などの種類がありますので、それぞれ の症例に適した装置を選んで使用していただきます。
光加速矯正装置はこんな方にオススメ
- できるだけ早く歯並びを治したい
- 矯正治療の痛みが心配
- 矯正装置をなるべく早くはずしたい
- 結婚式や入学式など特別な日までにキレイな口元になりたい
- 忙しいので治療期間を最短で終わらせたい
- 矯正を早く終えたいけど、外科的処置には抵抗がある
加速矯正(スピード矯正)の特徴
一般的に矯正治療を行うためには、長い治療期間が必要になります。この治療期間を短くするために、これまでいろいろな方法が開発されてきました。以前は、歯の周囲にある骨に切れ目や傷をつける外科的加速矯正がよく行われていましたが、近年では、光加速矯正や振動加速矯正などが開発され、より手軽に加速矯正が行えるようになりました。歯の表からの矯正治療やマウスピース矯正など、どの矯正装置の治療でも用いることができます。
加速矯正の注意事項
光加速矯正や振動加速矯正は比較的安全な治療方法ですが、成長期の子供に対しては行いません。
外科的加速矯正は、定期的な外科処置が必要になります。
加速矯正(スピード矯正)方法の紹介
コルチコトミー(歯槽骨皮質骨切術):外科的侵襲後の治癒を利用したスピード矯正
歯茎の中にある歯を支える歯槽骨の表面(表層部分)である皮質骨に切れ込み(傷)を入れることで治療期間を短くするのがコルチコトミー法です。あえて骨を傷つけることで骨の代謝を早く促し、その骨の回復力と矯正装置(ワイヤー)による矯正力を合わせることで、歯が土台にある骨と一体になって動き、より早く矯正治療が進行します。また、骨は傷つくと回復前よりも強くなる性質があるため、矯正治療の期間を短縮できるほか、矯正治療後の後戻りや歯根吸収がしにくいという特長もあります。
振動加速矯正:振動を利用したスピード矯正
微細な振動を歯に加えることによって、歯の移動速度を速める方法になります。この方法では、歯の移動速度が約30%速くなる*とされており、実際に治療を行った例も報告されています(Ojima K, et al., 2014)。振動加速矯正に関する質の高い研究はまだ十分に行われていませんが、今のところは歯の移動速度を速める効果があると考えてよさそうです(El-Angbawi A, et al., 2015)。
矯正治療の期間を短める可能性がある振動加速矯正装置
当院では振動加速矯正装置(SureSmile VPro)を利用しています。マウスピース矯正との相性が良いといわれていますが、光加速装置より費用は高いことがデメリットです。

*効果には個人差があります。データは特定の研究・症例に基づくものであり、当院における治療期間の短縮を保証するものではありません。治療期間は症例によって異なります。
光加速矯正:光を利用したスピード矯正*
低レベル光である近赤外線光を当てると、細胞がさまざまな病気に対する耐性を示したり、障害に対する修復能力が向上したりすることが知られています(Zhang R, et al., 2009)。これはフォトバイオモジュレーション(photobiomodulation:PBM)と呼ばれるものであり、PBMを利用した療法は、フォトバイオモジュレーション療法(photobiomodulation therapy:PBMT)と呼ばれ、多くの医療分野でも用いられている方法です。これまでに創傷治癒の促進や炎症の緩和などさまざまな生物学的効果が報告されています。歯科矯正においても、歯の移動の促進や痛みの軽減*が報告されており、安価なLED が医療用レーザーと同等に機能するという報告もされています。この原理を応用して歯の移動速度を速める方法が光加速矯正になります。光加速矯正を用いることで、実際に歯の移動が速くなることが報告されています(Domínguez A, et al., 2013; Kau CH, et al., 2013)。また、マウスピース矯正における装置の交換頻度を著しく短縮することができたと報告されています(Ojima K, et al., 2016)。
矯正治療の期間短縮が期待できる光加速矯正装置
当院では、光加速矯正装置(PBMヒーリングオルソ)を利用しています。「治療期間の大幅な短縮*」と「矯正による痛みの緩和*」が期待できます。

*効果には個人差があります。データは特定の研究・症例に基づくものであり、当院における治療期間の短縮を保証するものではありません。痛みの感じ方には個人差があります。すべての方の痛みが軽減されるわけではありません。
■小児矯正・咬合誘導
笑顔を育てる歯科矯正
笑顔を育てる小児矯正・咬合誘導とは?
小児矯正・咬合誘導では乳歯期の歯並びの良し悪しに関わらず、大人の歯に生え変わる過程で良い歯並びになるように育てる治療になります。
(※小児矯正・咬合誘導は自由診療となります)

Point 01. ブラケットを使わない歯列矯正
歯列矯正と聞いて、どのような治療が頭に浮かびますか?
一般的なイメージは、1つ1つの歯にブラケットと呼ばれる小さな装置を付けて、その1つ1つの装置をワイヤーで繋げる。近年は目立ちにくいマウスピース型の装置もありますが、自分の歯を抜いたり、治療費が高額であったりというイメージを思い浮かべる方もいるかもしれません。ブラケットを付けていてもその歯が交換によってなくなるため、永久歯に生え変わっていない時期、あごの骨がこれから成長していく時期から始める矯正治療(小児矯正、咬合誘導治療などと言われる)ではブラケットを通常使用しません。
Point 02. 5-6歳頃から始める歯列矯正
大切なお子さんの歯の矯正治療のスタート時期に悩んだことはありませんか?
こどものタイミングでの矯正の大きなポイントは、体の成長に寄り添えること。乳歯から永久歯に生え変わるタイミングは、あごの骨が成長過程にあります。この時期は骨がやわらかいので、あごのバランスを整えやすく、歯の生えるスペースを確保しやすいのが特徴です。「こどもの時から矯正する必要はあるのでしょうか?」「大人の歯が生え揃ってからでいいのでは?」と疑問に思うかもしれません。大人になってからの矯正だと長期間の治療が必要になったり、抜歯やあごの手術が必要になったりすることもあります。こどもの時期だからこそ、治せることがたくさんあります。
将来のお口の健康のために、顎を育て、歯並びを育てる、正しい咬み合せに導いていく矯正治療といえます。

Point 03. 小児矯正をお勧めする歯ならびについて
歯ならびは、食事や運動など、さまざまな機能に影響します。子供にとって重要な駆けっこと咬み合わせの関係も報告されています。また歯磨きで届きづらい場所があると、磨き残しが原因で虫歯や歯周病になってしまうかもしれません。さらには発音や、顔のかたちを変化させることもあります。特に受け口や下アゴの歪み、開咬がある場合、お子さんが3〜4歳になった段階で専門家の診察を受けることが大切です。
なぜなら、 重度のケースをそのまま放置すると、骨格の成長にも悪影響を及ぼし、深刻化するリスクが非常に高いからです。8020達成者には受け口・開咬の方は0%との報告からも、将来にわたる影響を予防するために早めのアプローチが大切になります。健康で、自信にみちた子供の成長のために、歯ならびには大切な役割があります。

Point 04. 小児期に治療をしておきたい小帯の異常
お口の中には小帯といわれる筋(スジ)のような構造物がベロと唇に付着しています。この小帯の異常が歯ならびにも悪い影響を及ぼすことがあります。子供によくみられる小帯の異常は上唇小帯の高位付着です。スジが前歯の間に入り込んでしまうことで正中離開(空隙歯列の一つ)を起こしやすくなります。
舌小帯の異常では舌の動きに影響を与えてしまい、歯ならびが悪くなるだけでなく、活舌が悪くなったりします。活舌不良はいじめの原因になることもあるため歯ならびの悪化予防という目的だけでなく、積極的に解決しておくことをお薦めしています。当院でも、小帯切除術を行っていますのでご相談ください。

【解説】舌の真ん中がスジに引っ張られて、ハートのような形に凹むように変形しています
小帯切除術
スジの周囲に少量の浸潤麻酔を行った後に切除します。通常は電気メスを使用することが多く、出血も少量です。処置自体は慣れている先生にとっては簡単な手術になります。
Point 05. 長い縁になる子どもの主治医となる歯医者さんに選び
小児期からの矯正治療はお子さんともコミュニケーションが取れる「この先生と頑張って治療していこう」と思える先生と治療を進めることが大切になります。当院では、治療開始前には定期的に来院いただき、大きな処置は避け、歯科医、歯科衛生士にも慣れる期間を設けています。最初は不安で泣いてしまうお子さんも気付けば一人で診療台に座って待ってくれるようになります。小児矯正に限らず矯正治療は年単位のとても長い治療になります。その間に先生が入れ替わるようなことは好ましくはありません。特に、お子さんが懐いて・慣れた担当医が繰り返し変わる様では親御さんも不安になってしまいます。矯正治療を非常勤医に任せている歯科医院は少なくありません。患者数・治療費など、色々と思案すべきポイントはあるかと思いますが「常勤医」が継続して担当してもらえる可能性が高い歯医者さんが一番だと考えます。治療を始める前に、治療体制については歯医者さんに相談してもいいかもしれません。
Point 06. 小児矯正治療の考え方と矯正装置
お口の周りには、たくさんの筋肉があります。頬やくちびる、お口の中の舌も筋肉です。歯ならびは、お口周りの筋肉の影響を受けています。こうした筋肉の一部が弱かったり、指しゃぶりなどの悪習壁で力のはたらく方向が本来と違ったりすると、歯ならびや上あごと下あごのバランスが崩れる原因になります。また、お口ポカンの原因にもなります。
矯正治療を行ってもこうした筋肉のバランスが崩れたままでは、うまく治療ができなかったり、せっかく治療した歯ならびがもとに戻ってしまったり(後戻り)することもあります。こどもの時期は身体が成長過程にあるので、顎の成長発育を促し、お口周りの筋肉のバランスを整えやすいタイミングだと言えます。
小児矯正では、適切にお口の成長を促し、大人の歯が生えてくる土台を作ることを目的に装置を使用します。
以下は一般的に使われている成長期の子供に適用されている一般的な矯正器具です。
Point 07. 小児期のお子さん向けマウスピース矯正「機能的マウスピース型矯正装置」
マウスピース型矯正装置の特徴は、何といっても目立ちにくく、食事や歯磨き時には取り外しができるということ。また、金属アレルギーの方も安心して矯正治療ができます。
大人のマウスピース型矯正治療では、治療のゴールに向かって少しずつ形状の違うマウスピースに交換しながら、徐々に歯並びを整えていく治療法です。
小児期のマウスピース矯正は大人のマウスピース矯正とは明確に異なる点があります。それは大人の場合には歯に負荷をかけるため、一定量の締め付けが必要という点です。歯の交換が起きる子供の場合には歯を動かすというよりも顎を正しい方向に成長させるマウスピースを装着するため大人のマウスピースよりも「締め付け」という不快感は生じません。また、大人の場合、一定程度の締め付けが必要になるため素材も硬くなりますが、小児期の場合はシリコン(ゴム製)の素材を使用します。ワイヤーの矯正に比べてマウスピース矯正は口の中を怪我する可能性が少なく済むという特徴がありますが、小児矯正の「機能的マウスピース型矯正装置」はより怪我をしにくい安全性が特徴です。スポーツ、運動などの習い事、体育の授業など、活発なお子さんにも薦められる治療方法になります。


Point 08.成人矯正と小児矯正・咬合誘導の費用の違い
歯科矯正には様々なアプローチがあり、どの方法を選ぶかによって費用が異なります。大人になってから歯並びを綺麗に直そうとすると、一般的には70-150万円ほどかかります。一方で、乳歯からの生え変わりの時期を利用した小児矯正では10-15万円としている医院が多いようです。
当院の一般的な小児矯正の治療費
機能的マウスピース型矯正装置・・・¥115,000
私費再診料・・・¥5,500/月
歯ならびが悪くなる悪習癖とは
口呼吸
舌、呼吸、姿勢の悪習慣は必ず連動しています。口呼吸のせいで各筋肉、舌・頬・唇のバランスが崩れて、上顎が狭くなり受け口になったり、顎の成長方向を変えて面長な顔立ちになったりします。正しい舌の位置は上顎に密着した状態ですが、口呼吸の場合は舌が下がっています。すると気道が狭くなり、鼻呼吸だけでは酸素が足りなくなるため、口が開いてしまうのです。その結果、常に口周りの筋肉がゆるみ、バランスが崩れてしまいます。
異常嚥下癖(飲み込みの癖)
飲み込む時の舌の位置は成長とともに変化し、正しい位置を学習します。乳児期の癖が抜けず舌を前に突き出すといった癖があると、舌が前歯を上下に押し広げてしまい、開咬(口を閉じたときに上下の前歯の間にすき間がある状態)になりやすくなります。開咬は将来に渡って歯牙に悪影響があり、歯を喪失しやすい咬み合せの一つです。
早食い・よく咬まない
咀嚼は顎の成長、お口周りの筋肉の発育にとても重要です。よく咬まない、柔らかいものばかり食べていると、お口周りの筋肉がしっかり育たないため顎が発育せず、叢生(歯がでこぼこに重なって生えている状態)や面長な顔立ちになりやすくなります。
指しゃぶり・ハンカチしゃぶり
指しゃぶりは、子どもの8割が3歳で自然にやめると言われていますが、長引くと歯ならびに影響します。4〜5歳までにやめることができれば、歯ならびが自然に治るケースが多いです。下の子出産でひどい指しゃぶりになるなど、6歳以降に再発する子もいます。
下唇を噛む
下唇を噛むことが習慣になると、出っ歯になる恐れがあります。下の前歯が叢生になることもあり、結果として、奥歯のかみ合わせにも影響が出やすくなります。
頬づえをつく
頬杖が習慣になると、押されている側の歯が内側に倒れ、顎が左右にずれてしまう恐れがあります。顎関節症の要因にもなります。
成長とともに生え変わる乳歯列の歯、生え変わり中の混合歯列の歯、生え変わった後の永久歯列の歯と矯正治療を始めるタイミングはいろいろあるかと思いますが、上記のような癖はいつのタイミングにおいても改めるべきものです。一生涯で一回しか生えてこない自分の歯。健康的に美味しく食べられる歯を獲得し、維持する上で歯ならび、咬み合せはとても大切です。子どもの歯ならびは4〜5歳までに癖を改めれば、自然と治る可能性があります。つまり、歯科医院で矯正治療を受けずとも、正しい歯ならびを手に入れることができるケースが多いのです。もし4〜5歳を過ぎても、歯の生え変わりのタイミングで機能的マウスピース矯正装置と並行してMFT(口腔筋機能療法)を実施すれば、歯ならびを骨格から整える根本的な改善を目指せます。体が正しく機能していれば、歯ならびは自然と整う症例も多くあります。成長の速度は一人ひとり違うため、早めのタイミングで小児矯正・咬合誘導といった治療を検討しましょう。
歯ならびが悪いと起きる問題
歯ならびが悪いと、知能・情緒・運動能力の形成に悪影響を及ぼす場合があります。
知能の発達について
ネズミを使ったある実験によると、ネズミの歯を抜いて食べ物を咀嚼できない状態にすると、記憶に障害が生じて餌場にたどり着けなくなることが分かりました。また、このネズミを入れ歯で治療したところ、知能が元通り回復しました。このほか、口呼吸の場合、鼻呼吸よりも酸素を取り込める量が少なくなり、脳に酸素が届きにくくなり、脳の発育に影響がでることが分かっています。口呼吸が子供の知能指数(IQ)に影響を与えるという話は驚きかもしれませんが、実は呼吸と脳の発育には密接な関係があります。 オーストラリアの歯科矯正専門医であるDerek Mahony博士の研究によると、口呼吸を続ける子供は知能指数が年に5~10低下する可能性があるとされています。
精神面の安定について
ネズミを使った実験で、軟食ばかり与えられ噛み合わせが不安定なネズミは、通常の習性とは逆に孤独を好むようになったり、嫌な状況に耐えられない傾向が現れたりすることが分かっています。また、噛み合わせが不安定だと身体的・情動的ストレス,不安障害を惹起させること、些細な出来事にも動揺しやすくなるとも言われています。自律神経失調症と関連のある物質が多くなり、精神面での問題にも関連する可能性があるとされています。
運動能力について
全ての歯が接触して噛み合わせが安定していないと、運動能力を十分に発揮できない恐れがあります。スポーツ選手が試合の際にマウスピースで噛み合わせを安定させることは、一般的にもよく知られています。また、高齢者では転倒の回数、子供では足の速さに影響するといった報告がされています。
治療の流れ
治療の流れ
小児矯正の流れ
1.希望やお悩みについてご相談ください
お子さんは初めての矯正治療にたくさんの不安を抱えていると思います。まずはお子さんや保護者の方の希望やお悩みをご相談ください。お話をお聞きし、お子さんの治療に協力できるかなどを診ます。この時点ですぐに治療が必要でないと判断されて、しばらく経過を見ることもあります。
2.精密検査
こどもの歯ならびには、見た目からだけではわからない問題が隠れていることがあります。お子さんに合った治療を安全に行うため検査を行い、歯やあご、お顔の状態などを細かく調べます。虫歯、小帯異常、口呼吸の問題などが見つかることもあります。
例えば…各部の写真、レントゲン写真、歯の型取りなど
3.診断
検査の結果をもとに、お子さんにとってベストな治療の方針、期間や費用をご提案します。ここでも、少しでもわかりづらいこと、疑問に思うことがあれば何でも聞くようにします。
4.治療開始
お子さん一人一人に合ったタイミングで矯正治療をスタートします。
例)小児矯正・咬合誘導
治療期間 3年 治療開始時期:小学校低学年~
使用装置:機能的マウスピース矯正装置


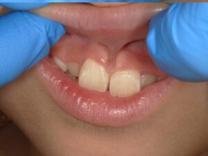
11歳現在の歯並び
【解説】歯の生え変わり、顎の成長を利用し、きれいな歯並びで歯の交換が達成されています。小児矯正・咬合誘導では乳歯期の歯並びの良し悪しに関わらず、大人の歯に生え変わる過程で良い歯並びになるように育てる治療になります。
小児矯正治療中の虫歯予防の知識
お子さんにお薦めしたい3つの虫歯予防
歯磨き指導

歯磨き指導は一番重要な予防医療です。虫歯・歯周病と一生涯に渡って歯科疾患を予防する上でとても重要です。歯科医院で定期的にシーラント、フッ素塗布、クリーニングをしていても、毎日蓄積されるプラーク(歯垢)や虫歯菌を抑制することはできません。そのため、歯磨きの正しい知識、方法を子供の時期からしっかりと身に着けていただく為に、当院ではお子様にも歯磨きをお教えしております。小さいころから正しい歯磨きの仕方を覚え、大人になってからもその習慣が続くことで、現在だけでなく未来の歯も守ることができるのです。
まだ仕上げ磨きが必要な場合には、保護者の方にご協力をお願いすることがあります。当院には、各学会の認定衛生士が複数在籍しています。普段の歯磨きで難しいこと、不安なことがあればお気軽にお尋ねください。
シーラント

シーラント(小窩裂溝填塞法)とは、主に虫歯になりやすい「奥歯の溝を白いプラスチックの樹脂で埋める」虫歯予防処置をいいます。汚れがたまりやすく磨きにくい奥歯の溝は、非常に虫歯になりやすいハイリスクな場所になります。特にお子さんの場合には最も虫歯になりやすい場所と言われています。シーラントはその溝を綺麗な状態で密閉し、虫歯菌等を物理的にブロックすることで、虫歯になりにくくする処置です。フッ素徐放性のある薬剤もあり、虫歯の進行も予防できます。注意としては、シーラントは永久的なものではありません。普段の食事や運動時の噛み締め、経年劣化によって外れてしまうことがあります。そのため、定期的に歯科医院でチェックしていただくことを推奨しています。
フッ素塗布

ご家庭の歯磨き粉に配合されているフッ素と、歯科医院で塗るフッ素は何が違うかご存じですか?それは、「フッ素の濃度」です。歯科医院では、濃度の高いフッ素を使用して虫歯の予防効果を高めます。
生えたばかりの子供の歯は、私たち大人の歯とは異なり、非常に柔らかく脆い状態です。
虫歯になりやすい状態とも言えますが、フッ素は、そんな柔らかいお子様の歯ほど高く効果を発揮します。生え変わりの激しい時期には特にフッ素配合の歯磨き粉の使用や、歯科医院での高濃度フッ素塗布が推奨されています。永久歯がはえ揃ってから、エナメル質が成熟するまでの期間を考えると、一五歳ぐらいまで年二回以上のフッ化物歯面塗布を続けると良いでしょう。
フッ素の力について
天然に適量のフッ化物を含んだ水を飲料水として使っていた人々には、むし歯が少なかったという事実から、フッ化物の利用によるむし歯予防が始まりました。フッ素には、虫歯の発生・進行を防ぐ効果があります。「フッ素は歯が強くなって、虫歯になりにくいもの」というのは広く認識されてはいますが、具体的にはどのような働きがあるでしょうか?また、身体に悪くないのかなどについて解説します。

歯の質が強くなる
歯の表面(エナメル質)は、主に「ハイドロキシアパタイト」という結晶から成り立っており、その割合は97%と、非常に高い割合を占めています。しかし、このハイドロキシアパタイトは、虫歯菌の出す酸に弱いという特徴があります。この時に活躍するのが、フッ素の力です。フッ化物の作用によりハイドロキシアパタイトは「フルオロキシアパタイト」という頑丈な結晶になります。この結晶構造は、虫歯菌の出す酸に強く、虫歯のリスクを減少させる効果を持っています。「フッ素で歯が強くなる」というのは、この化学反応によって歯の表面を耐酸性の高い構造に変えることがフッ素の一つ目の効果になります。
再石灰化の促進
普段お口の中は中性の状態ですが、飲食をするとお口の中は酸性となり、歯の表面が溶けだす「脱灰」という現象が起こります。ただ、その状態がずっと続く訳ではなく、唾液の力によって溶けた歯を修復する「再石灰化」が行われます。フッ素には、歯から溶け出したカルシウムやリンを補い、歯を修復するこの再石灰化の力を促進する働きがあります。
再石灰化が促進されると、その分だけ歯へのダメージを防ぐことができ、虫歯の進行を遅らせることができます。
虫歯の菌を弱らせる
上記でお話した「脱灰」でなぜ口の中が酸性になるかというと、虫歯菌が代謝産物として酸を出して歯を溶かそうとしているためです。フッ素はこの菌に作用して、細菌の活動を弱らせる効果があるといわれています。虫歯菌が弱ると、歯を溶かす原因となる酸を出しにくくなり、脱灰の作用自体もまた弱まるという事になります。この点でもフッ素は虫歯を予防する効果があると言えます。
【フッ化物応用の効果】
・再石灰化の促進:
歯から溶け出したカルシウムやリンを補い、歯を強くします。
・歯質強化:
歯のエナメル質を酸に溶けにくい性質に変え、虫歯への抵抗力を高めます。
・虫歯菌の抑制:
虫歯の原因となる細菌の活動を弱め、酸の生成を抑えます。

フッ素はどこにでもある?
フッ化物というと特別なものに思われますが、私たちを取り巻く土中、海水、河川水、植物、動物のほとんどに含まれています。そして私たちが毎日食べている食品の中にも必ずといっていいほど含まれています。私たちの身体にもフッ化物は含まれています。特に骨や歯などの硬い組織に多く含まれています。

*ppmとは100万分の1の含有率(量)という単位です。水1リットル中に1ミリグラム含まれていれば1ppmです。参考:飯塚 喜一のフッ素に関する衛生学的研究より
フッ化物応用時の注意
フッ化物(フッ素)は、正しく使用すれば虫歯予防に大変有効な物質です。歯科医師の指導のもと、適切な使用方法を守り、健康な歯を維持しましょう。
過剰摂取:
特に歯の形成期(永久歯では出生から8歳までの間)に高濃度のフッ化物を含む飲料水を継続的に飲用すると、歯のエナメル質が白く濁って見える斑状歯(フッ素症)が発生することがあります。歯がつくられるとき、厳密にはエナメル質の形成時だけエナメル質をつくる細胞(エナメル芽細胞)がフッ化物に敏感に反応し、過剰摂取が続くと体のほかの組織には異常が全くみられなくても、歯が白くなる場合があります。
誤飲:
フッ化物洗口液(フッ素入りブクブクうがい用の薬剤)などを大量に誤飲すると、フッ素中毒になる可能性があります。
フッ化物の適切な使用方法:
適切な濃度のフッ化物配合歯磨き粉を使用しましょう。効果を期待して濃くすれば良いと安易に考えてはいけません。特にフッ化物洗口は、指示された量を正しく使用しましょう。幼児には、保護者の管理下で少量ずつ使用させましょう。
子供の歯、よくある質問Q&A
Q.生えたての乳歯に歯磨きはどのようにすればよいですか?
A.歯ブラシや、ガーゼ、フロスを使い分けて、無理せず慣れさせるつもりで。
小さな前歯が生えてきたら是非一日に一度は歯磨きをして下さい。
まだまだじっとすることが出来ない乳幼児ですので難しいと感じている保護者の方も多いと思います。歯ブラシができない場合は清潔なガーゼで歯を拭うことでも構いません。ガーゼであれば、お口の中を傷つけることもありませんし、赤ちゃんも嫌がらないことが多いです。最近はお口のケア用のガーゼも販売されています。
複数本生えてきた時には、柄のついたフロスがあるとより効果的です。特に上の前歯の間は汚れが貯まりやすく虫歯の好発部位ですので注意してください。
フッ素については、乳歯が生えてきたら使用して下さい。フッ素入りのジェルなど、生えたての歯には、よりフッ素の効果が高いので安心して使って頂きたいとところです。歯ブラシや、ガーゼ、フロスにつけて使うと良いです。いやいや期の二歳ごろになって、急に歯磨きを始めてもなかなかうまくできなくて歯磨きが嫌いになってしまうこともあります。赤ちゃんの頃から人にお口の中を触られることに慣れさせておくことはお口の健康を守り、一生自分の歯でご飯を食べる上で、とても大切な子育ての一つと言えます。うまく行かないときは、歯磨き指導を受けに、お子さんをつれて医院に起こし下さい。 Q.虫歯予防のため、甘いものを食べてはダメですか?
A.甘いものを制限するよりも、間食を繰り返す、だらだらと食べ続けないことです
虫歯を心配して甘いものを我慢させている方はいないでしょうか?もちろん甘いものを食べなければ虫歯になるリスクは減らすことが出来ると思います。しかし、甘いものを我慢するなんてとてもできないし、飲水量、栄養摂取量が減ってしまうことも問題があります。先天性の糖尿病などで医師から摂取制限を受けているお子さんは仕方ないと思いますが、甘いものを制限するよりも、間食をやめることをお薦めしています。お口の中は食事すると酸性になり歯が溶けやすい環境になります。しかしながら、唾液がしっかり作用すれば30分程で酸が中和され虫歯になりにくい状態に戻ります。ところが、間食の回数が多かったり、お口の中にずっと食べ物がある状態が続くとお口の中の酸性になっている時間が長くなり虫歯ができやすくなってしまうのです。余談になりますが、唾液の分泌量が多いほど、唾液の緩衝能(中和能力)が高いほど、虫歯は出来ません。当院では唾液の能力を測定することも可能です。大事な事は、だらだらと食べ続けないことです。甘いものを食べるときは食後のデザートしてまとめて食べるのが良いでしょう。また、間食する場合でも午前中1回、午後1回くらいにすることをお勧めします。いわゆるおやつの時間です。食後のデザート、2回程度の間食、フッ素配合の歯磨き粉での歯ブラシ、そして仕上げ磨きと定期健診で楽しく予防を続けていきましょう。 Q.大人から子供に虫歯菌が感染するというのは本当ですか?
A,本当です。生まれたばかりの赤ちゃんのお口には、虫歯菌が存在しません。
まず、歯周病も虫歯も感染症という認識を持つ必要があります。形は違えど、風邪やインフルエンザと同じくうつる病気ということです。歯の生え始める1歳7か月~2歳7か月の、「感染の窓」とも呼ばれる時期に虫歯菌の感染が多く起こるといわれています。この時期に感染を最小限に抑えること、もしくは感染しても虫歯になりにくい環境にすることが重要です。実際、私たち、歯科医師、歯科衛生士の子育てでは乳幼児期に極力自分の唾液、おじいちゃんおばあちゃんの唾液が混ざらないように注意をしています。回し飲みなどもやめてもらう方が良いです。あまりに感染を気にするあまり、ナーバスになってしまう方もいらっしゃるかもしれませんが、気を負いすぎないように過ごすことをお薦めします。 Q.子供が歯医者嫌いです、大丈夫でしょうか?
A.もちろん大丈夫です。トラウマの原因とならないように先ずは通い、先生を好きになってもらいましょう。
早急に処置が必要な部位がない場合、無理やりに治療を行うことは致しません。また、歯科医院が初めてというお子様も大歓迎です。一昔前は「歯医者は痛くなってからいくところ」でしたが、今は「健康を維持するため、痛くならないためにいくところ」という価値観に変わりつつあります。子供の頃に怖い・痛い思いをすると、大人になっても歯科医院から足が遠のき、重症化してしまうケースも少なくありません。
そうならないように、当院では小さな頃から歯科医院に慣れていただくという事を目標にしています。最初は怖がってお母さんと入ってきていたお子さんが、「ママは外で待ってて!」と言って一人で入ってくるようになります。現在成人されていて「歯医者が好き」「歯医者は定期的に行く場所」という子育てをしてもらいたいです。まずは先生に慣れること。歯科医院選びにおいても、先生が入れ替わるチェーン店を避けることが一つの答えでしょう。定期健診で健康を維持する習慣が身につけば、大人になって保護者の方の手が離れても、おのずと丈夫な歯になって、歯の健康は保たれるはずです。どうぞ気兼ねなくご来院ください。
Q.フッ素は発育に影響が出て体に悪いと聞きますが、害はないのでしょうか?
A.用量を守れば害はありません。
フッ素を使用したからと言って、発育に影響が出たという例もありません。化学的知識の乏しい方が工業用のフッ化物と混同して不安を煽ったコメントを発していますが完全な間違いです。フッ素は食品や飲料にも含まれていて、私たちが日常的に摂取している、非常に身近なものでもあります。勘違いにより、虫歯から歯を守る機会を失ってしまうかもしれません。当然、体に必要なものでも、多量に取りすぎれば危険なものになってしまうものは多くあります。例えば「塩」は、足りなすぎると倦怠感や低血圧の症状が起こりますが、取りすぎれば下痢や高血圧などの原因にもなります。同じように、フッ素も適切な量を使用している分には全く問題はなく、むしろ歯にとってはメリットしかありません。また、長年の研究に基づき、WHOもフッ素の使用を推奨しています。安心してお使いください。
フッ素を用いた虫歯予防法としては、
• フッ素配合歯磨き粉の使用
• 歯科医院でのフッ素塗布
• フッ素洗口
があります。
どれも継続して行うことが重要ですので、不安なことなどがございましたら、当院のコラムに工業用のフッ素と歯科応用のフッ素の違いをまとめていますので、ご一読ください。
Q.3歳半検診で見つかった初期の虫歯について、どうしたらいいですか?
A.まずは、適切な歯磨き指導を受けて、徹底した管理をしてみましょう。
初期虫歯という言葉をご存じでしょうか?虫歯は、虫歯菌の代謝物である酸によって歯が溶けていく病気ですが、いきなりポンと穴ができるわけではありません。最初は、歯の表面が少しずつ溶けていき、あるところまで進行すると穴があいてしまうのです。残念ながら穴が開いてしまうと、これ以上の進行を食い止めるために削って詰める治療をしなければなりません。しかし、初期の虫歯の場合は削る治療をせずにフッ素塗布をしたり、適切な歯磨き指導や管理をすることで削る治療をしなくてもよくなる場合もあります。
初期虫歯の特徴は白斑です。酸で歯が溶けていく過程で、まず白くなっていきます。そして表面がザラザラに変わり、褐色になり、やがては穴があきます。実は、最初の白くなっている状態を初期虫歯と呼んでいます。
3歳半検診の際に先生が様々な指摘している意図は、初期虫歯の対応はもちろんですが、初期虫歯ができた要因の改善をしましょうというのが主たるものと考えてよいと思います。年齢的にも特殊な機材がある医院以外で、積極的に虫歯の治療(麻酔をして歯を削る)を行うことは現実的ではありません。当院では親御さんと一緒に、お子さんの歯の健康を守ろうと考えています。小さい頃からの習慣は丈夫な永久歯を育てます。検診で指摘された方は遠慮なくご相談ください。
【24時間受付中!】
矯正歯科治療に関するご質問

Q1.初めて受診します。どのように予約をとればいいのですか?
A. お電話かネット予約でご予約をお取りください。お電話でしたら、その際にどのような症状かをお話下さい。
Q2.今日は保険証をもっていませんが、どうなりますか?
A. 一旦、治療費を全額(10割)負担していただきます。後日、保険証の確認ができましたら精算させていただきます。
Q3.初めてなのですが、近くに医院の目印となるものはありますか?
A. 町田109の商店街出入り口前のビル2階になります。隣にドトールコーヒーさんがあるため、そちらを目印にされている方も多いです。
Q4.歯科治療で他の患者さんの血液が感染するとニュースで見ました。大丈夫ですか?
A. 当医院は滅菌には細心の注意を払っています。患者さんに直接触れる器具は完全滅菌状態を保ち、コップ、手袋、注射針、注射液、メス、薬品を入れるカップなどは全て使い捨て、徹底した滅菌体制と院内感染の予防に努めています。
Q5.初診でもその日に、処置をやってもらえますか?
A. 処置の程度にもよりますが、実施可能な範囲で行っています。
Q6.矯正治療を始める前に治療内容や費用、治療にかかる期間などを教えてもらうことはできますか?
A. 当院では、矯正治療前にカウンセリングを行い、事前に治療に関して丁寧にご説明をさせていただいておりますのでご安心下さい。
矯正歯科治療をご検討中の方へ

「歯並びは気になるけど、長期間の治療はちょっと…」「矯正しているのを知られたくない」「歯医者のスタッフはみんな忙しそうだから相談しづらい」とお悩みの方、まずは当院の医師にご相談してみませんか?
歯並びを改善することは、お口の健康を改善することにつながります。歯並びが改善されると、お口の見た目が改善されることはもちろん、虫歯や歯周病のリスクや顎関節症になるリスクなどをおさえることができ、会話時の発音も改善される可能性があります。当院では、このような矯正治療の効果をしっかりとお伝えさせていただき、その治療にかかる費用、治療期間なども含めて詳しくご説明しています。
また、カウンセリングを通して、ご相談いただいた方から「どうありたいか」「何を変えたいか」「どのように治療を進めたいか」といったご希望も伺うようにしています。そして、今のお口の状況も踏まえた上で、治療プランについて、納得いくまでしっかりと話し合いながら一緒に創り上げていくことを大切にしています。
ご来院いただく皆様に、「あの時に相談をしに来て、本当に良かった!」と言っていただけるよう毎日診療を行っていますので、お口のことでお困りのことがあれば、遠慮せずにいつでもお気軽に、なんでもご相談をいただければと思います。
医院までの地図
医院は町田駅徒歩3分のアクセスしやすい場所にございます。ぜひお気軽にお越しください!

【24時間受付中!】
■矯正治療の自由診療費用
| 歯科矯正に関する相談 (カウンセリング) |
無料 |
| 診断料(初回のみ) | 20,000円 (スターアラインは30,000円) ※精密検査は疾患ごとに必要な検査項目が異なるため金額も変わります。 |
| 毎月の処置料 | 5000円 |
| 保定装置料 | 総額に含む |
| 診断用模型製作料 | 20,000円 |
| 矯正方法 | 種類 | 治療費(標準的) | 備考(特徴) |
|---|---|---|---|
| マウスピース | スターアライン (半年を超えるケース) |
590,000~1,000,000円 | 見た目がよく金属を使用しない。 |
| アソアライナー (半年以内で終了するケース) |
598,000円 | 見た目がよく金属を使用しない | |
| トランスクリア (半年以内で終了するケース) |
598,000円 | 見た目がよく金属を使用しない | |
| 裏側矯正 | ハーフリンガル (上は裏側、下は表側で矯正をするケース) |
698,000~800,000円 | 内側に器具を入れるため、矯正していることがばれにくい |
| フルリンガル (上下とも、裏側で矯正をするケース |
798,000~1,200,000円 | 内側に器具を入れるため、矯正していることがばれにくい | |
| 表側矯正 | クリアブラケット (透明に近いブラケットを使用するケース) |
598,000~800,000円 | 通常の矯正方法。 |
| 審美装置 (白、透明ブラケットを使用するケース) |
648,000~1,000,000円 | 通常の矯正方法。 | |
| インプラント矯正 | ミニインプラントを使用するケース | プラス150,000円 | 早く矯正を終了させる、動かすのが難しい歯に対しての移動には適した方法 |
| 加速矯正 | 光加速装置 | 70,000~150,000円 | 治療期間の短縮と矯正痛みの緩和を期待 |
| 振動加速装置 | 50,000~100,000円 | マウスピース矯正との相性が良い |
*マウスピース矯正において、どのマウスピースが適しているかは、初診カウンセリング時に歯並びの症状を判断し、治療費とともにご説明させていただきます。
◇治療の難易度と治療費について
症状によって、3段階に分類しています。分類は、易しい・普通・難しいとなります。
症状によって、必要な治療期間や補助装置が異なります。それらを加味して費用を算出しています。一般的に易しければ、治療期間は短期間で終わり、補助装置も不要です。難しければ、治療期間は長期間となり、補助装置も必要になります。どの矯正方法を選択するかでも治療期間は増減します。
*上記の金額に別途消費税がかかります。上記の金額には上下の基本装置代を含んでおります。これに必要な補助装置を加えた費用を加算してトータルの料金を算出します。
*それぞれの装置について、症状に応じて、難易度を設定し、総額の費用を算出いたします。なお、当院ではまず、無料のカウンセリングを受けていただくことにしています。その際に、歯列矯正にかかる概算の治療費(検査、診断、装置や調節料などを含む総額)をお伝えしています。
*各装置にも使用ブラケット、ワイヤーにいろいろと種類があります。実際に使用する装置につきましては、カウンセリング時にご要望をおききし、症例の難易度も加味して決定をします。
◇難易度の判断基準
全体的な矯正治療の難易度は、骨格のずれ・抜歯の必要性の有無・歯や歯周病の状態・欠損歯の有無・ご年齢・かみ合わせなどにより判定しています。
*難しいレベルの症例:骨格のずれが大きく、かみ合わせに問題があるケースとなります。治療期間が長引き、インプラント等を積極的に使用すべきケースを「難しいケース」として設定しています。
*普通レベルの症例:骨格のずれがあまりなく、歯並びを拡大治療で改善したり、でこぼこや出っ歯を抜歯して治す標準的な治療を「普通レベル」として設定しています。治療期間の目安は2-3年。保定期間3-5年です。
*易しいレベルの症例:骨格のずれがなく、歯や歯周病の問題もない場合は1年程度で終了する場合があります。ワンポイント矯正、部分矯正など、歯列全体の修正も軽度で済むケースを「易しいレベル」として設定しています。
【24時間受付中!】





